How Long After Filling Can I Brush My Teeth
how long after filling can i brush my teeth
How Long After Filling Can I Brush My Teeth?
So, you just had a dental filling, and now you're wondering, "how long after filling can I brush my teeth?" It's a super common question, and a really good one! After all, maintaining good oral hygiene is key, but you also don't want to mess up your brand new filling. The good news is, the answer isn't complicated, but it does depend a little on the type of filling you received.
Understanding Different Filling Materials
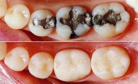
When you get a dental filling, your dentist uses a specific material to restore your tooth. The two most common types you'll encounter are amalgam (the silver ones) and composite (the tooth-colored ones). Each has different properties, especially when it comes to how quickly they "set" or harden.
Knowing which material was used will help guide your post-filling care, including when it's safe to brush.
Amalgam (Silver) Fillings: The Waiting Game
If you've got an amalgam filling, also known as a silver filling, you'll need to be a bit more patient. These fillings are a mix of metals and take a while to fully harden. While the initial bond is usually strong enough for you to leave the dentist's office, the material continues to cure and gain strength over several hours.
Generally, it's recommended to wait at least 24 hours before brushing directly on an amalgam filling with your usual vigor. This gives the material ample time to fully set and achieve maximum strength. Before that, you can carefully brush the surrounding teeth, but be extra gentle around the new filling itself.
Composite (Tooth-Colored) Fillings: Brush Sooner!
Good news for those with composite, or tooth-colored, fillings! These are made of a resin material that is cured instantly with a special blue light during your dental visit. This means they are hardened and ready to go before you even leave the chair.
So, how long after filling can I brush my teeth if it's composite? You can typically brush your teeth as normal, very gently, as soon as the numbing wears off, or even right after the appointment if you feel comfortable. There's no lengthy waiting period for the material to set like with amalgam fillings.
General Brushing Tips After a Filling
Regardless of your filling type, here are some general tips to ensure a smooth recovery and protect your new restoration:
- Use a Soft-Bristled Toothbrush: A soft brush is always best for your gums and teeth, especially after dental work. It minimizes irritation.
- Brush Gently: Apply light pressure around the newly filled tooth for the first day or two. There's no need to scrub vigorously.
- Mind the Temperature: You might experience some temporary sensitivity to hot or cold foods/drinks. Brush with lukewarm water if needed to avoid discomfort.
- Floss Carefully: You can floss, but be gentle when flossing around the new filling to avoid dislodging it or irritating your gums. Slide the floss out rather than snapping it.
What About Eating and Drinking?
Just as important as when you can brush your teeth, is what you can eat and drink. For amalgam fillings, dentists often recommend waiting a few hours (sometimes even 24 hours) before eating on the treated side, and avoiding hard, sticky, or chewy foods. This helps prevent damage while it's still curing. For composite fillings, you can usually eat and drink once the numbness wears off, though it̢۪s wise to avoid very hard or crunchy foods for the rest of the day.
When to Call Your Dentist
While discomfort after a filling is normal, especially once the anesthesia wears off, certain symptoms warrant a call to your dental professional. Don't hesitate to reach out if you experience:
- Severe or persistent pain that doesn't improve with over-the-counter pain relievers.
- Extreme sensitivity to hot or cold that doesn't subside after a few days or weeks.
- A "high spot" or feeling that your bite is off, preventing your teeth from closing normally.
- Sharp pain when biting down on the filled tooth.
- A piece of the filling breaks or falls out, or you notice a rough edge.
Conclusion
So, to answer "how long after filling can I brush my teeth?" the simple takeaway is: it depends on your filling material! If you have a tooth-colored composite filling, you're generally good to go with gentle brushing almost immediately. For silver amalgam fillings, a 24-hour wait is typically recommended to allow for full hardening and optimal strength. Always listen carefully to your dentist's specific instructions, as they know exactly what material was used and what's best for your individual situation. Taking good care of your new filling will help it last for years to come!
Frequently Asked Questions (FAQ)
- Can I eat right after a filling?
- For composite fillings, you can usually eat once the numbness wears off. For amalgam fillings, it's often recommended to wait a few hours (up to 24) and avoid hard/sticky foods on that side.
- Is it normal for a filled tooth to be sensitive?
- Yes, it's very common to experience some sensitivity to hot, cold, or pressure after a filling. This usually subsides within a few days or weeks as your tooth heals. If it persists or worsens, contact your dentist.
- What if my filling feels "high" or my bite feels off?
- This is a common issue and usually an easy fix. Your dentist can quickly adjust the filling so your bite feels comfortable and balanced. Don't hesitate to contact them if you notice this.
- Can I use mouthwash after a filling?
- Yes, you can generally use a non-alcoholic mouthwash after a filling. Avoid vigorous rinsing for the first few hours, especially with amalgam fillings, to prevent dislodging. Always follow your dentist's specific advice.
how long after filling can i brush my teeth
how long after filling can i brush my teeth Wallpapers
Collection of how long after filling can i brush my teeth wallpapers for your desktop and mobile devices.

Beautiful How Long After Filling Can I Brush My Teeth Wallpaper Concept
Transform your screen with this vivid how long after filling can i brush my teeth artwork, a true masterpiece of digital design.

Crisp How Long After Filling Can I Brush My Teeth Image Illustration
Immerse yourself in the stunning details of this beautiful how long after filling can i brush my teeth wallpaper, designed for a captivating visual experience.

High-Quality How Long After Filling Can I Brush My Teeth Design Photography
Explore this high-quality how long after filling can i brush my teeth image, perfect for enhancing your desktop or mobile wallpaper.

High-Quality How Long After Filling Can I Brush My Teeth Background Nature
Discover an amazing how long after filling can i brush my teeth background image, ideal for personalizing your devices with vibrant colors and intricate designs.

Detailed How Long After Filling Can I Brush My Teeth Image Art
Transform your screen with this vivid how long after filling can i brush my teeth artwork, a true masterpiece of digital design.

Lush How Long After Filling Can I Brush My Teeth Artwork Photography
This gorgeous how long after filling can i brush my teeth photo offers a breathtaking view, making it a perfect choice for your next wallpaper.

Exquisite How Long After Filling Can I Brush My Teeth Image in HD
This gorgeous how long after filling can i brush my teeth photo offers a breathtaking view, making it a perfect choice for your next wallpaper.

Captivating How Long After Filling Can I Brush My Teeth Abstract in 4K
Find inspiration with this unique how long after filling can i brush my teeth illustration, crafted to provide a fresh look for your background.

Dynamic How Long After Filling Can I Brush My Teeth Capture Art
A captivating how long after filling can i brush my teeth scene that brings tranquility and beauty to any device.

Spectacular How Long After Filling Can I Brush My Teeth Background Photography
A captivating how long after filling can i brush my teeth scene that brings tranquility and beauty to any device.

Breathtaking How Long After Filling Can I Brush My Teeth Scene for Desktop
Discover an amazing how long after filling can i brush my teeth background image, ideal for personalizing your devices with vibrant colors and intricate designs.

Spectacular How Long After Filling Can I Brush My Teeth Image Digital Art
Find inspiration with this unique how long after filling can i brush my teeth illustration, crafted to provide a fresh look for your background.

Spectacular How Long After Filling Can I Brush My Teeth Background Concept
A captivating how long after filling can i brush my teeth scene that brings tranquility and beauty to any device.
Crisp How Long After Filling Can I Brush My Teeth Photo Nature
A captivating how long after filling can i brush my teeth scene that brings tranquility and beauty to any device.

Exquisite How Long After Filling Can I Brush My Teeth Artwork Photography
Immerse yourself in the stunning details of this beautiful how long after filling can i brush my teeth wallpaper, designed for a captivating visual experience.

Amazing How Long After Filling Can I Brush My Teeth Photo Illustration
Discover an amazing how long after filling can i brush my teeth background image, ideal for personalizing your devices with vibrant colors and intricate designs.

Artistic How Long After Filling Can I Brush My Teeth Image for Your Screen
Immerse yourself in the stunning details of this beautiful how long after filling can i brush my teeth wallpaper, designed for a captivating visual experience.

Gorgeous How Long After Filling Can I Brush My Teeth Moment Concept
This gorgeous how long after filling can i brush my teeth photo offers a breathtaking view, making it a perfect choice for your next wallpaper.

Serene How Long After Filling Can I Brush My Teeth View Digital Art
Experience the crisp clarity of this stunning how long after filling can i brush my teeth image, available in high resolution for all your screens.

Exquisite How Long After Filling Can I Brush My Teeth Capture Photography
Immerse yourself in the stunning details of this beautiful how long after filling can i brush my teeth wallpaper, designed for a captivating visual experience.
Download these how long after filling can i brush my teeth wallpapers for free and use them on your desktop or mobile devices.